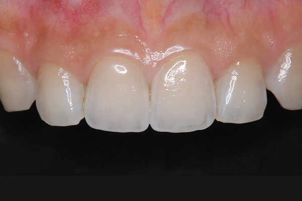
審美治療について
見た目はもちろん
機能も重視する治療です
歯や口元の美しさを追求するのがセラミック・審美治療です。むし歯治療をした後の詰め物やかぶせ物にこだわることで、目立たず自然な見た目に仕上げることが可能です。保険によるむし歯治療でも審美的な回復をおろそかにするわけではありませんが、使用できる材料に制限があり、高い審美性の獲得は難しいのが現状です。審美治療は自費診療なので選択できる材料が幅広く、患者さんが理想とする見た目を目指せるのがメリットです。
また、詰め物やかぶせ物の機能性も高く、歯の健康を守るうえでも効果的です。現在使用している銀歯をコンプレックスに感じているかたやこれからむし歯治療をするかたも、審美治療を検討してみてはいかがでしょう。
赤坂B&S歯科・矯正歯科の
審美治療
さまざまなメリットが期待できる
セラミック治療
歯は体の一部なので生体親和性の高い素材を選ぶことが重要です。金属やプラスティックなどを長期間口の中に留めておくと、お口の中だけでなく全身の問題が引き起こされる可能性があり、注意が必要です。
一方、セラミックは耐久性と強度に優れた素材で、金属アレルギーの心配もありません。色調や形態を調節できるため、自然な色合いや輝く白色など、お好みに合わせた治療が可能です。経年変化が極めて少ないため、変色や黄ばみ、臭いの付着が生じません。
さらに、透明感のある美しい仕上がりを実現し、金属のかぶせ物による歯ぐきや歯の黒ずみの心配もありません。セラミックの使用は、信頼性と美しさを追求するかたにとって、優れた選択肢と言えます。歯の健康と美しさを保つために、セラミック治療を検討してみてはいかがでしょう。
赤坂B&S歯科・矯正歯科の
セラミック治療の特徴
なるべく歯を削らない
抜歯、抜髄を行わない
歯のトラブルが少なく長持ちする
無理やり連結させたりしない
セルフケアを考慮した治療
・セラミックは他の歯科材料と比較して高価で、保険適用外の診療となります。硬質な陶材なので、噛み合わせの調節が必要な場合もあり、たとえ1本の治療でも、全体的な噛み合わせを考慮した治療が必要です。
・歯科技術や材料は常に進化しており、歯科医師や歯科技工士の知識と技術によって結果が大きく異なります。審美的な歯科治療の基準に則った治療や作製によって、高い審美性と機能性を実現できます。
・ホワイトニングとセラミック治療を組み合わせることで、お好みの歯の色、形、大きさを目指せます。治療範囲は自由に選択でき、セラミックは安定した材料であり、自然な仕上がりを期待できます。
・ワイヤー矯正を行わずに短期間で歯並びを整える方法や、部分的な矯正後にセラミックで仕上げる方法もありますが、それぞれにはメリットやデメリットがあります。歯科医師との相談を通じて、ご自身に合った治療方法を選択してください。
ラミネートべニアについて
薄いセラミックを貼りつける
ラミネートベニア
ラミネートベニアとは、薄いセラミックをネイルチップのように歯の表面に貼りつける治療法です。歯の形や色をきれいに見せることができ、前歯のように目立ちやすい部分の「歯の色をきれいに見せたい」「歯の形に悩んでいる」「2つの前歯の間に隙間がある」といった問題の解消に役立ちます。治療の際に歯の表面を削りますが、わずかな量で済み、専用の接着剤で貼りつけるため簡単には剥がれません。
RECOMMEND このような場合におすすめします
- 歯の形やサイズに不満がある
- 軽度の歯の位置異常を改善したい
- 歯の間に隙間がある
- 歯の表面に小さな欠けや摩耗がある
- 歯の色が気になる(ホワイトニングで改善できない場合) など
メリット
審美性の向上
形や色を自由に調整できるため、歯の見た目を大きく改善できます。特に前歯の見た目が気になる場合に効果的です。
最小限の削合
他の治療法と比べて歯を削る量が少ないため、自然の歯をできるだけ保存することができます。
迅速な結果
短期間で治療が完了し、すぐに結果が見られるため、忙しいかたにも適しています。
耐久性
適切なケアを行えば、長期間にわたって美しい状態を保つことができます。
デメリット
高品質のセラミックを使用するため、多くの場合、費用が高額になります。
セラミックは硬い素材ですが、非常に強い衝撃や圧力が加わると割れる可能性があります。特に硬いものを噛む際には注意が必要です。
一度ベニアを装着すると、取り外して元の歯に戻すことはできません。これは、歯の表面を少し削る必要があるためです。
不適切な装着やメンテナンス不足が原因で、歯や歯ぐきの健康に問題が生じることがあります。例えば、ベニアの下にむし歯ができるリスクもあります。
歯ぎしりや食いしばりがある人は、ベニアが割れやすくなる可能性があるため、ナイトガードなどの保護装置の使用が推奨されることがあります。
ダイレクトボンディング
について
スピーディーでリーズナブルな
ダイレクトボンディング
歯科用プラスティックのレジンを歯の表面に塗り、色や形を調整する治療法です。さまざまな色調のレジンを盛りつけ、重ねていくことで、むし歯治療の痕などが目立たないようになります。すきっ歯もダイレクトボンディングで改善を目指せます。一度で治療が完了することが多く、自然な色合いや形状を再現でき、美しい仕上がりが期待できます。
歯の健全な部分を大きく削ることなく、他の修復方法(セラミックのかぶせ物やラミネートベニア)に比べて比較的コストを抑えられる点もメリットです。ただし、他の修復方法に比べて耐久性が若干低く、時間とともに摩耗や着色が生じ、補修や再治療が必要になる場合があります。また、技術者のスキルに依存するため、結果の質が異なることがあります。
SUITABLE どのような場合に適している?
適しているケース
- 小さなむし歯や欠けた歯の修復
- 歯の形状や色の微調整
- 歯の間の隙間を埋める
- 軽度の歯の不揃いを改善
適さないケース
- 大きな欠損や深いむし歯
- 強い咬合力がかかる場所(奥歯など)
- 歯の大幅な形状変更や強度が求められる場合
セラミック治療のやり直しを
検討中のかたへ
セラミック矯正をご検討ください
セラミック矯正は元々の歯を削って、その上に白く美しいセラミックを被せる治療法です。歯並びそのものを動かすわけではないので、矯正治療と違い比較的短い治療期間で今よりも美しい見た目を目指せます。また、歯の形や色に不満がある場合も、セラミック矯正なら美しいセラミックの歯を被せることで、理想の色・形の歯を再現できる点が、矯正治療との大きな違いです。
お気軽に無料相談をご利用ください
セラミック矯正は、ただ白いきれいな歯を入れるだけではありません。患者さんによって理想的な歯は異なるため、お顔全体のバランスや口元、スマイルライン、Eラインを見て、一人ひとりに適した審美治療を行います。また、きれいなセラミックを入れても、すぐに取れてしまう、噛みづらい、汚れが溜まりやすいなど問題があれば長持ちしません。赤坂B&S歯科・矯正歯科では、他院で行ったセラミック治療のトラブルややり直しでご相談に来られる患者さんもおられ、セラミック矯正のやり直しにも対応しております。お気軽にご相談ください。
費用
料金表
| ダイレクトボンディング | 33,000円 |
|---|---|
| ラミネートベニア | ハイブリットセラミック:88,000円 ガラスセラミック:132,000円 e-max:154,000円 ジルコニア:165,000円 |
| クラウン(かぶせ物) | ハイブリットレジン:55,000円 ハイブリットセラミック:88,000円 ガラスセラミック:132,000円 e-max:152,000円 ジルコニア:165,000円 |
| インレー(つめ物) | ハイブリットレジン:33,000円 ハイブリットセラミック:55,000円 セラミック:66,000円~77,000円 ハイブリッドセラミックアンレー:66,000円 セラミックアンレー:77,000円~88,000円 補綴検査診断:11,000円 |
| メタルボンド | 143,000円 |
| メタルボンドブリッジ (3連結) | 425,000円 |
| ジルコニアブリッジ (3連結) | 495,000円 |
| 検査診断料 | 11,000円 |
※表示金額はすべて税込みです。
お支払方法
港区赤坂・赤坂見附の矯正歯科
「赤坂B&S歯科・矯正歯科」では、
下記のお支払方法に対応しております。

- 現金
- 現金でのお支払い

- 院内分割
- 分割でのお支払い

- クレジットカード
- VISA/JCB/
Mastercard/など

- デンタルローン
- 低金利分割払いでの
お支払い
医療費控除について
1年間(1月1日~12月31日)に10万円以上の医療費を支払った場合は、医療費控除の対象です。確定申告により、一定の所得控除が受けられます。ご自身の支払いに限らず、生計を共にするご家族が支払った医療費も対象です。詳しくは国税庁のホームページをご覧ください。
注意点・リスク・副作用
・歯の形や噛み合わせを元通りにする治療ではありません。
・新しい噛み合わせに慣れるまでに時間がかかることがあります。
・補綴材料によってはアレルギーが出ることがあります。
・強い衝撃がかかると割れる可能性があります。