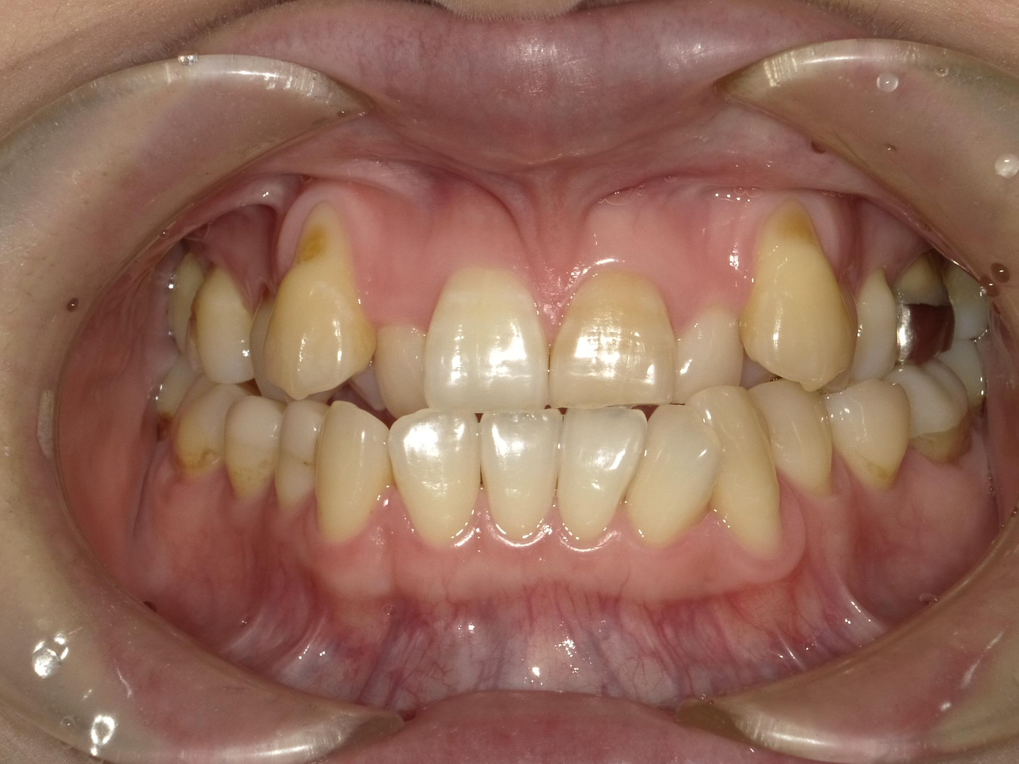
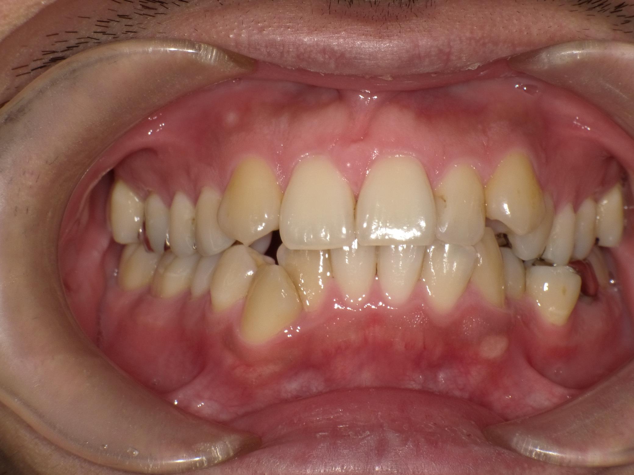
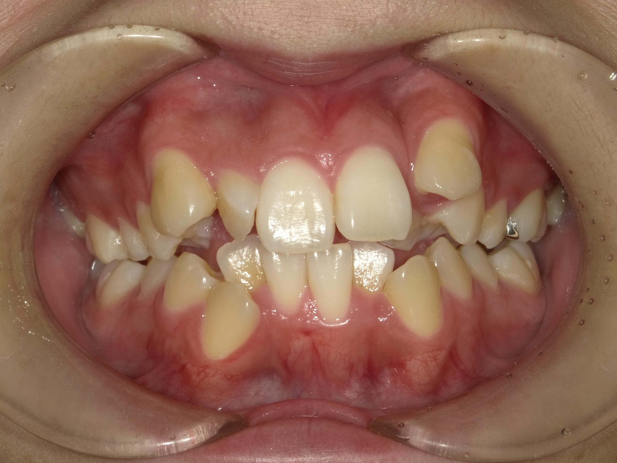
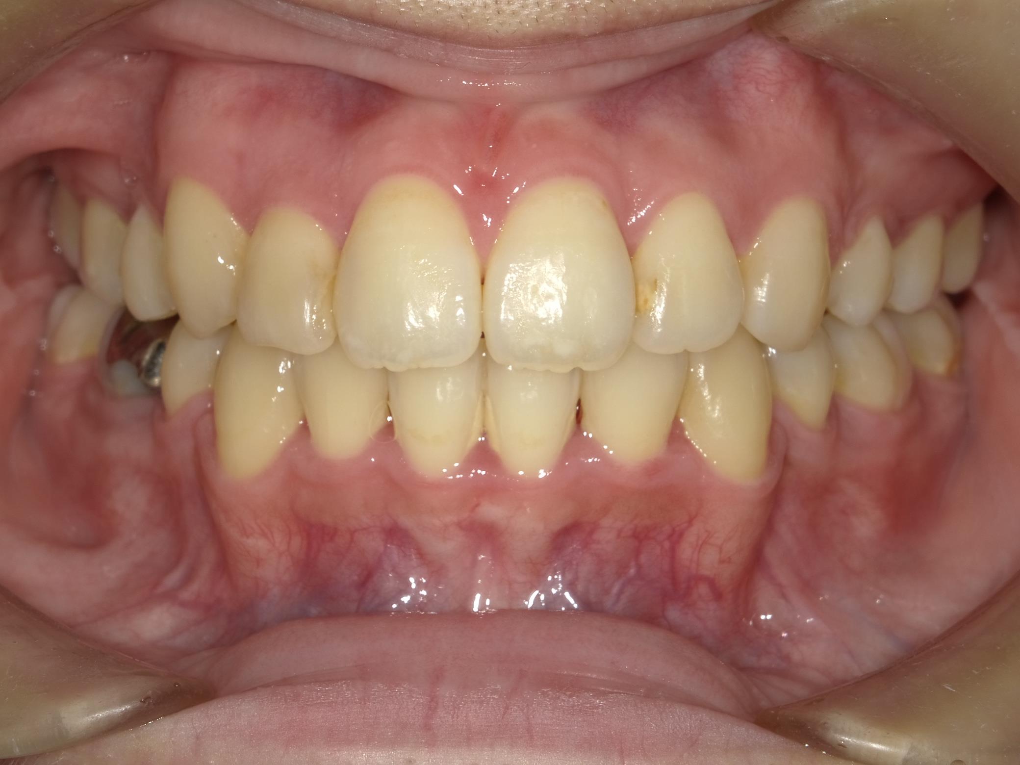
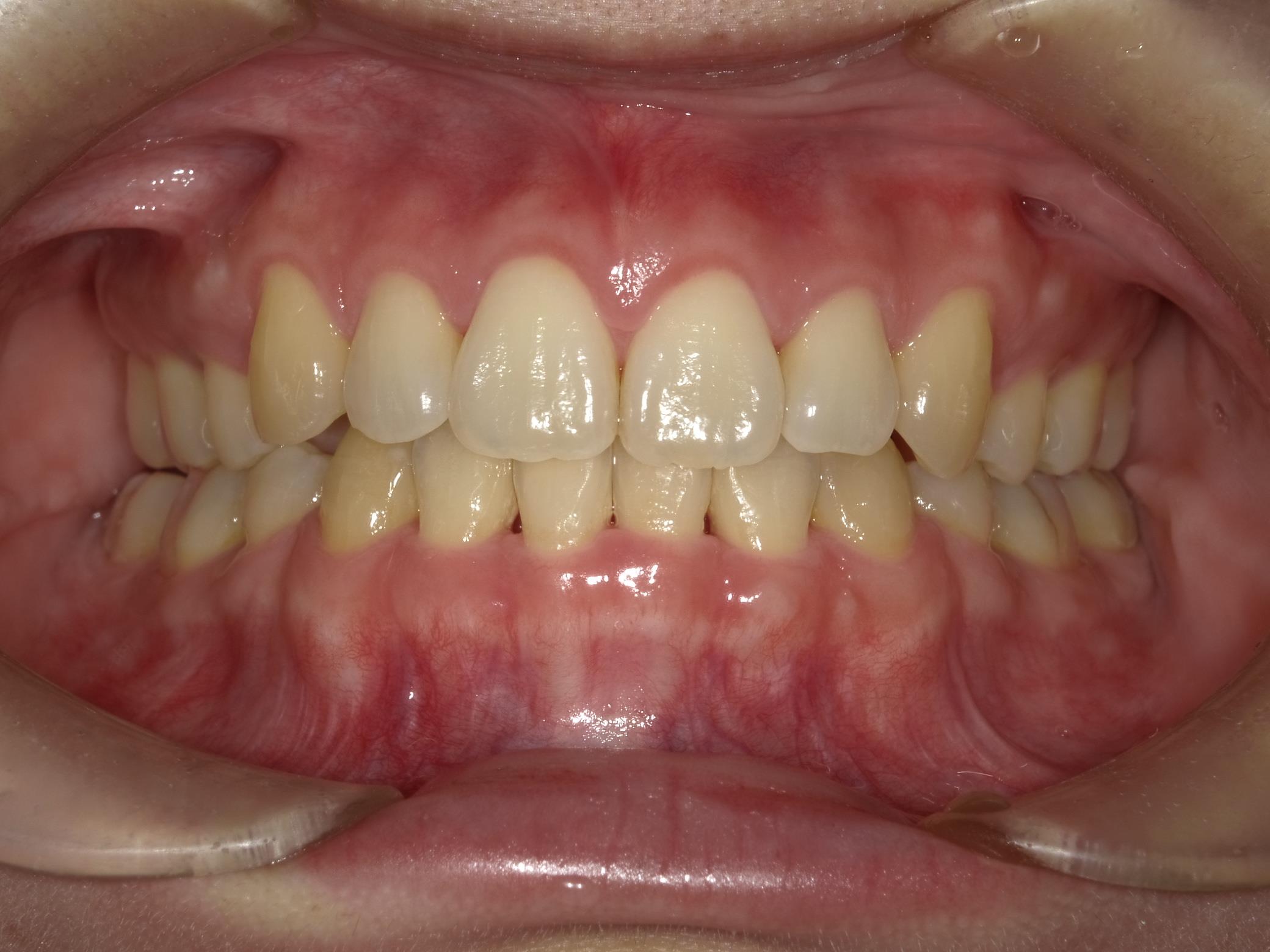
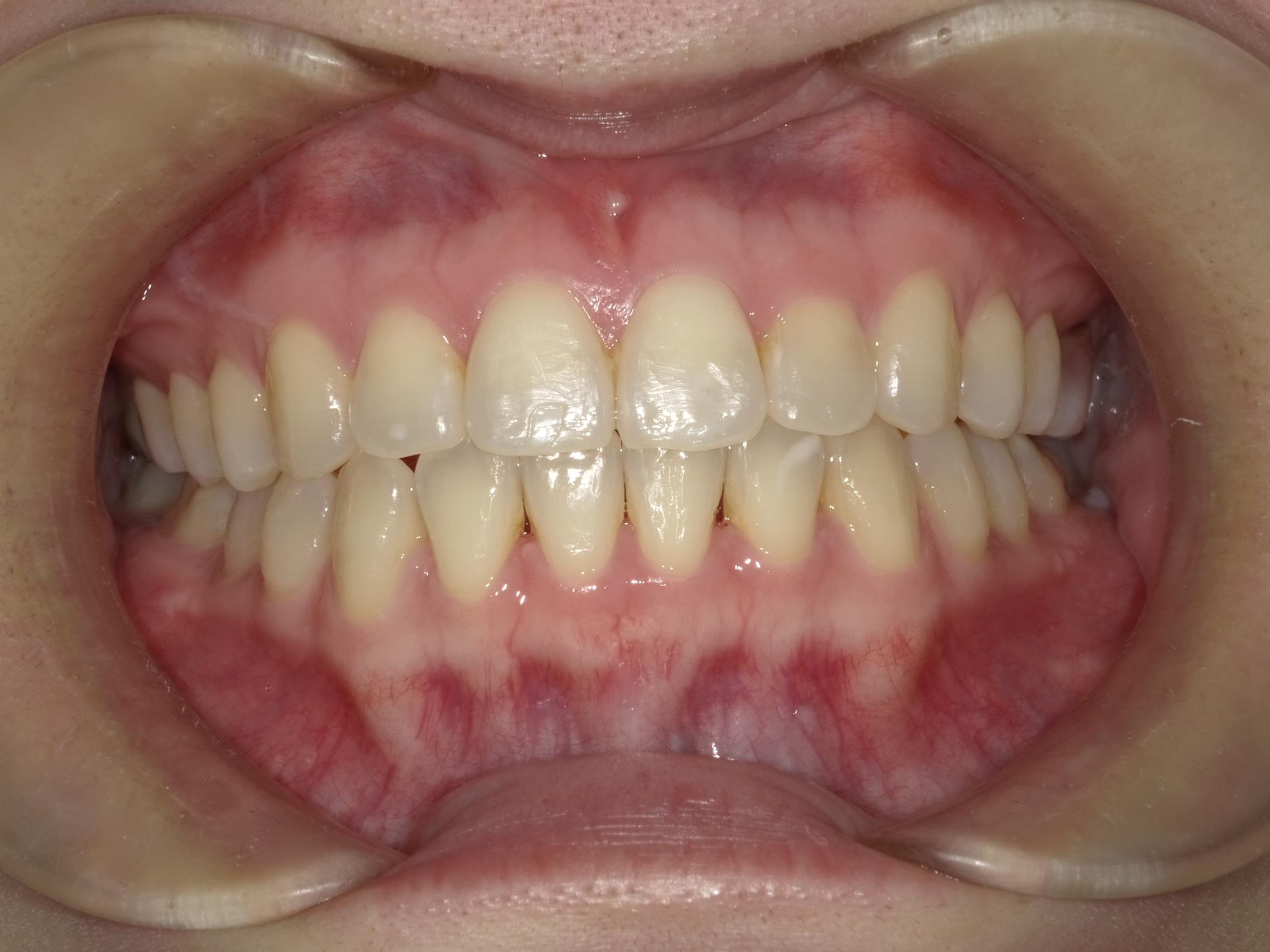
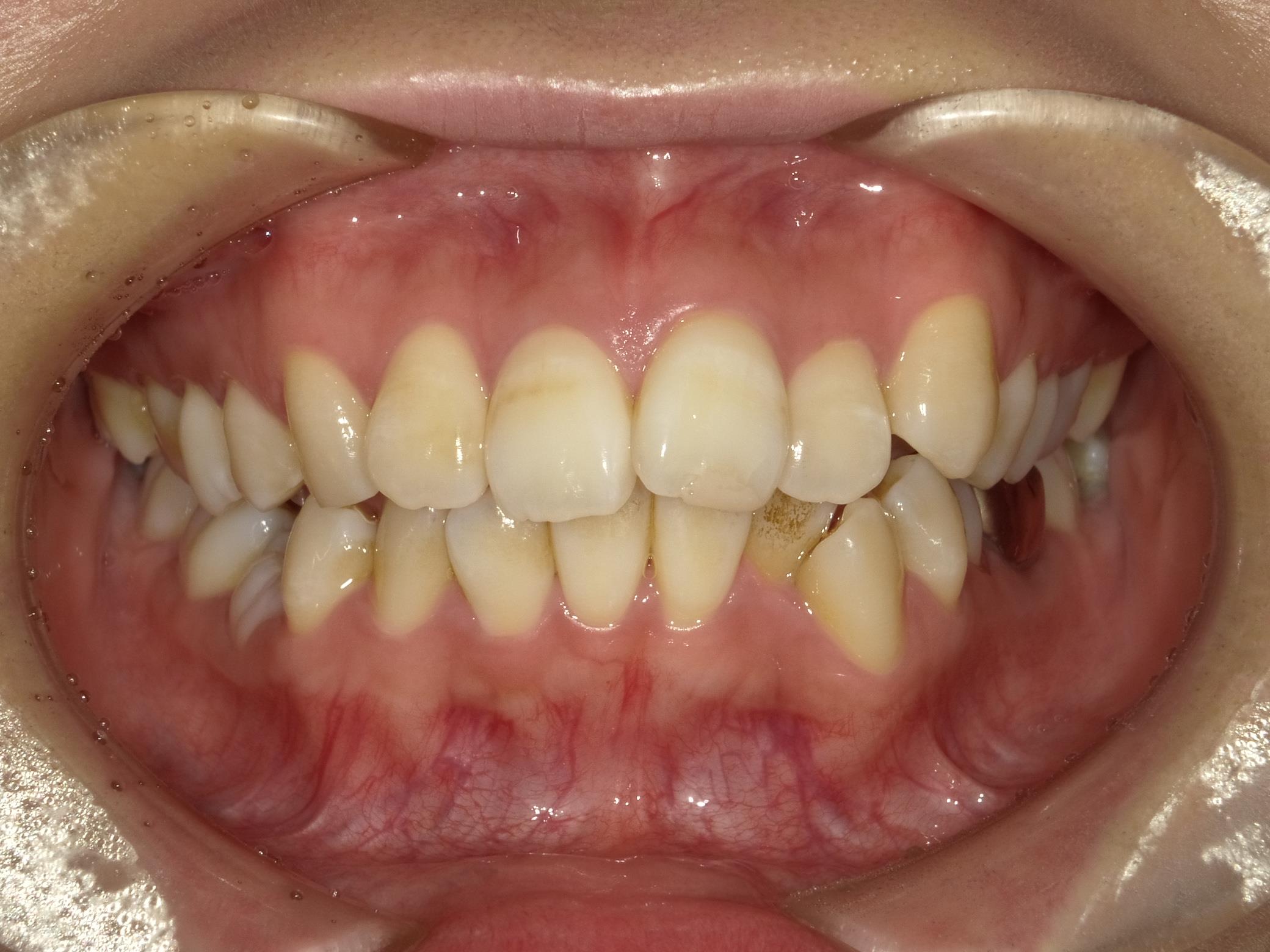
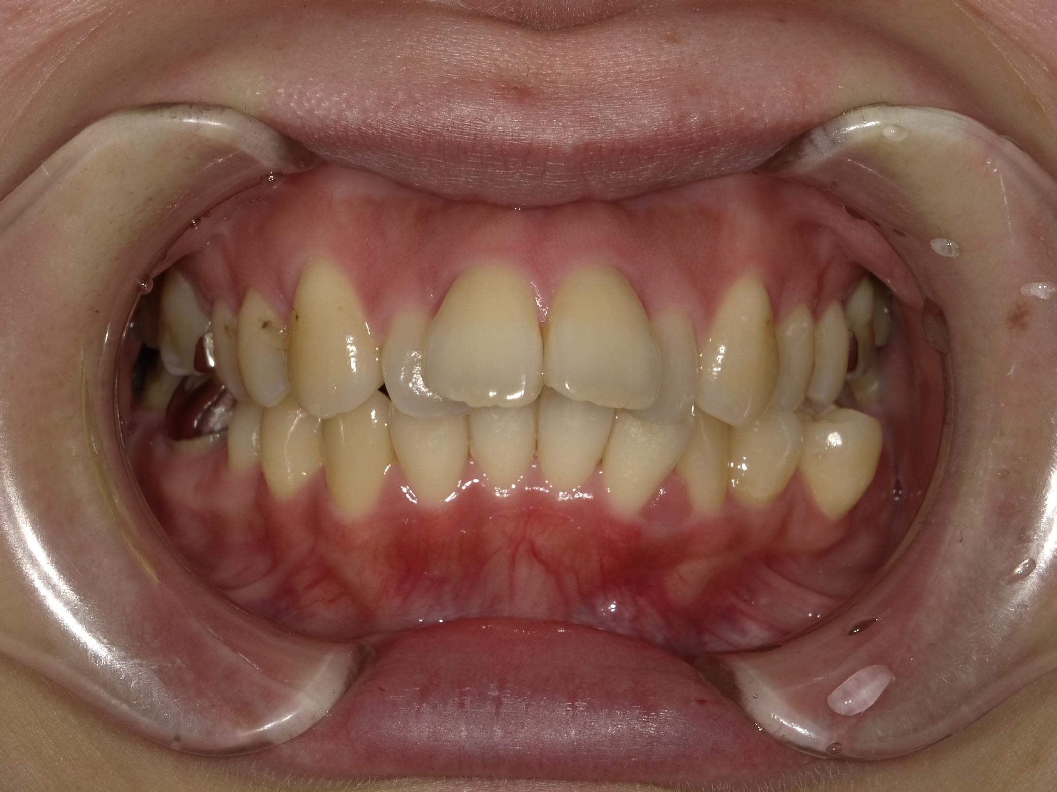
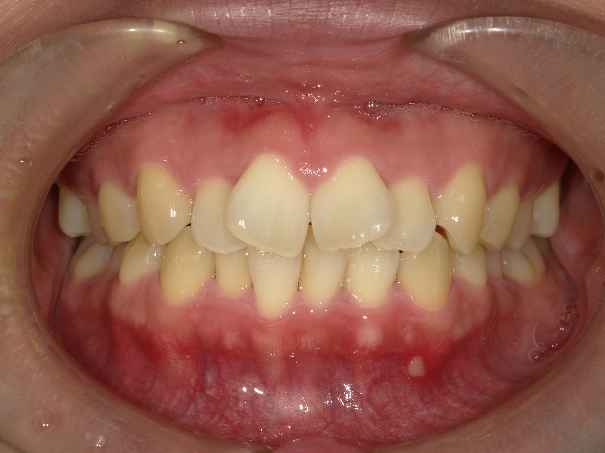
整った横顔
健康的な口元
輝く笑顔
実績・経験豊富な歯科医師による
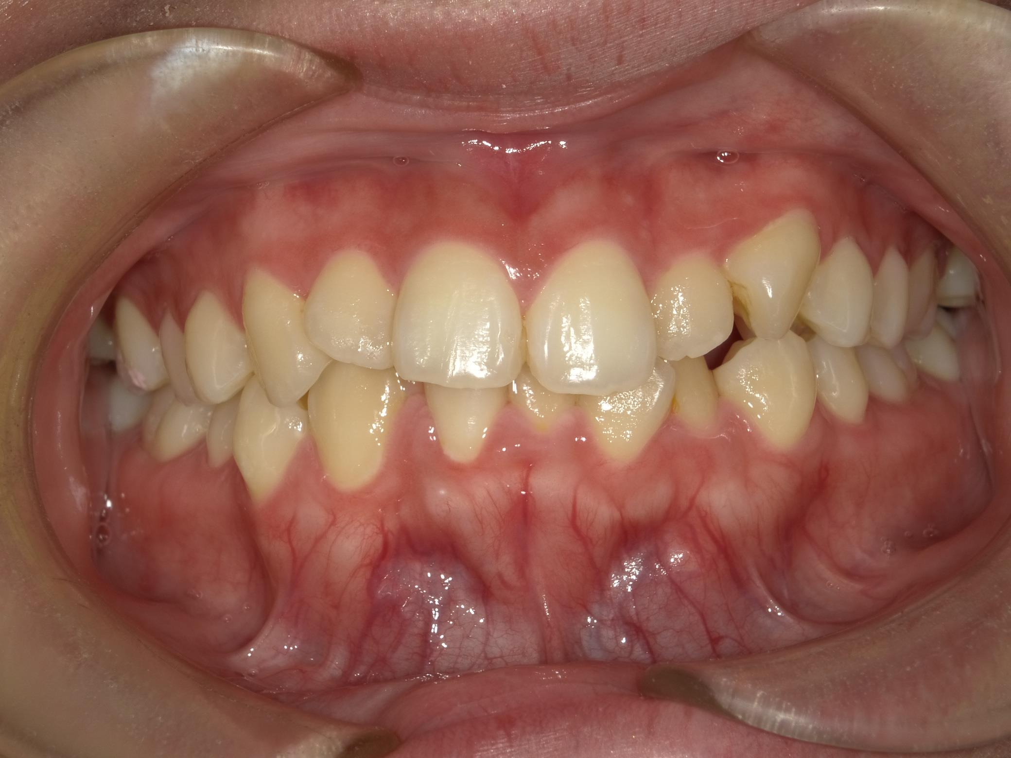
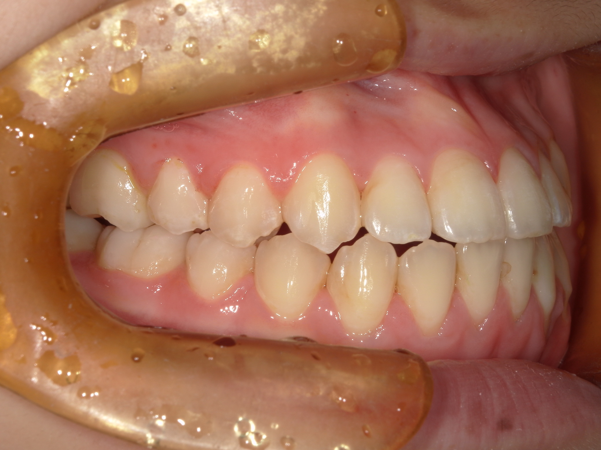
専門性の高い矯正歯科
(ワイヤー矯正/マウスピース矯正)
インビザライン
プラチナエリート
ドクター
日本成人矯正
歯科学会
日本舌側
矯正歯科学会
日本アライナー
矯正研究会
赤坂の矯正歯科
「赤坂B&S歯科・矯正歯科」矯正専門サイト
(ワイヤー矯正・マウスピース矯正)
東京都港区赤坂3丁目2番2号
日総第24ビル1階・2階
赤坂B&S歯科・矯正歯科
赤坂駅徒歩5分
赤坂見附駅徒歩1分












































